当前位置:南京肤康皮肤病研究所 > 花斑癣 > >
成功恢复腹部大面积花斑癣
小徐,公司职员,敬业、干练、富有朝气,在公司能力是没得说。今年刚30岁,话说这而立之年,咋一直没听见他谈婚论嫁呢!就连上司都为他发了愁,“不会出什么问题了吧,有问题上医院,有病就得看医生啊”小徐听着这些话感觉是在骂自己一样。但是自己又着实还不了口。
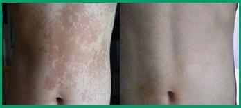
家里急,朋友催,自己也上火,但没人知道自己得了花斑癣,没人能体会到自己心里的委屈。小徐身体躯干部有大面积棕褐色花斑癣,在单位运动打球从未像个爷们样光过膀子,怕被人取笑。家里人也不知道,没敢告诉,想着自己都这么大人了,上医院看病还要家长带着去挂号,多不争气啊!
小徐选择了边上班边取药治疗,想着药房拿个药吃吃擦擦也就过去了,然而过去的仅仅是时间,日子一天天过,这癣一天天的张,大有一发不可收拾的势头。小徐一看坏了,真得上专业医院治了,不然得出大问题,工作之余上网自己查查看看哪家医院。看到南京肤康皮肤中医门诊部对治疗各种皮肤病都有和口碑,正好离得不远,到了医院找到了皮肤科主任医师。

经主治医生的检查,小徐的癣相互融合成不规则大片形,而周围有新的斑疹出现,有进一步发展的趋势。皮屑以10%氢氧化钾液直接涂片找到弯曲、弧形的糠秕酵母菌丝及圆形孢子,边缘清楚。遂采取“中医渗透诊断疗法”一用药少,二副作用小,三主治面广,最终标本兼治,根除病源。
在医生的指导下,很快小徐的身上的皮肤斑疹逐渐消失,复诊结果为痊愈。电话回访时他告诉我们现在正处着对象呢···
上一篇:花斑癣的产生原因是什么?
下一篇:5年花斑癣 终于全面摆脱
点一点,知道更多信息
名医专家
-
门诊时间:08:00-17:30
咨询热线:18251889023
苏(中)医广(2025)第06-17-3201-0248号
地址:秦淮区建康路281号(夫子庙淮清桥西侧)
网站备案:苏ICP备17036858号-2
版权所有:南京肤康皮肤中医门诊有限公司









拨打电话 18251889023
咨询病情