当前位置:南京肤康皮肤病研究所 > 花斑癣 > >
花斑癣的产生原因是什么?
花斑癣全球分布,在温带地区常见于夏秋季,在热带和亚热带地区则十分流行,墨西哥,印度,古巴等很多国家居民发病率高达50%,患者多为成人,男性多于女性,由直接或间接接触传染,不感染动物。花斑癣的发病原因是什么,怎样能高效恢复花斑癣,在这里南京肤康皮肤中医门诊部的医生们来告诉你引起花斑癣的原因以及怎样治疗花斑癣效果比较好:
花斑癣发病机制:花斑癣菌具嗜脂性,所以皮损多分布于皮脂腺丰富的部位,花斑癣菌能产生对黑素细胞有抑制作用和细胞毒作用的二羟酸,从而使花斑癣损害呈现色素减退,亦有人认为是因为花斑癣菌及其代谢产物能阻止阳光透入局部皮肤而干扰了局部皮肤黑素形成所致。
花斑癣发病原因:圆形糠秕孢子菌已被证实为本病的致病菌,为当皮肤多汗,卫生条件差,长期应用皮质类固醇激素及罹患慢性消耗性疾病时,该菌可由腐生性酵母型转让化成致病性菌丝型,而引起皮肤发病。花斑癣菌平时腐生于角质层的表层,为孢子形态,在某些条件下,会从孢子相转变为菌丝相,具有感染力,侵犯周围组织产生损害,诱发因素包括全身或局部使用皮质激素,皮肤使用油脂类制剂,慢性感染,营养不良,细胞外糖原沉着,家族遗传等,但临床上最常见的因素是高温和多汗。
》》》您可结合病症与肤康在线医生一对一交流,获诊治、护理建议。》》》
以上是对花斑癣的原因相关介绍,南京肤康皮肤中医门诊部医生提示:花斑癣有碍患者您的美观,也会影响您的正常生活与工作,如果有出现病症,建议及早到院接受科学规范的治疗,以获得早日恢复!
南京肤康独家研创“中医渗透诊断疗法”,高效恢复花斑癣
肤康皮肤病研究所医生经过多年的临床诊疗经验,针对不同病情的花斑癣患者分别制订了详细的治疗方案。经过临床近万名恢复患者的实践检验报告显示:采用“中医渗透诊断疗法”规范治疗后,病变部位全部恢复正常,水泡、糜烂症状完全消失,手足皮肤不再干燥,恢复了原有的光泽、弹性。对治疗后2个月的患者进行了回访,回访结果显示,患者水泡、糜烂症状完全消失,皮肤光泽度很高,再也没有出现过令人时不时就想抓挠的现象,该疗法标本兼治花斑癣不再发作,得到了广大花斑癣患者的一致好评。
“中医渗透诊断疗法”治疗过程:
1、“中药熏蒸系统”透皮给药,深层杀毒灭菌:运用纳米技术萃取的汉方药物原液,通过“中药熏蒸系统”透皮给药,使药物深度吸收和直接作用于病灶细胞,深层杀菌清毒,同时能增强机体抵抗力,治疗效果显着,且避免了传统药物表层治疗的副作用。
2、紫外线抗炎照射治疗,少吃药除病灶:采用高科技制造紫外线电子波(医学称作抗炎射线),照射皮肤患部直接杀灭细菌,同时可以激发组织充血,增强白细胞的活动能力,刺激上表皮细胞生长,促进组织再生,加强组织细胞的新陈代谢,从而抑制细菌的病毒的生长,使死亡细胞脱落,间接地发挥杀菌作用。而且表皮细胞能产生抵抗调节因子,使中枢神经系统活动功能加强,代谢功能提高,促进全身血液循环,增强人体抵抗功能。

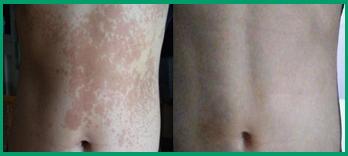
肤康独家疗法治疗花斑癣前后对比图
“中医渗透诊断疗法”在临床治疗上的几大亮点:
1、尖端设备、精确检测:该疗法通过真菌显微镜以及特色紫外线灯的检测以及医生的诊断,可以给患者选择最适合的治疗方案,具体问题、具体分析、具体治疗。从而可以保证让患者治疗更准,疗效更好。
2、多效并举、标本兼治:“中医渗透诊断疗法”避免了传统治疗只除表面病菌不除内部病菌的缺陷,此法通过内外兼施对病毒进行全面攻击,让病毒没有再发作的可能和机会,从而防止了疾病再发作的病原体,从根本上治疗花斑癣以达到标本兼治的良好效果。
3、高效快捷、不再发作:传统治疗是单纯性地用药物进行治疗,无论是外用或是内服,都是进行单一的治疗,效果不明显。而“中医渗透诊断疗法”是通过高科技治疗仪器配合治疗,直接将药物送达病灶,从根源上防止病原体,能快速清除病菌,达到最佳治疗效果。
100%恢复率,还有一大必要保障,即经验丰富、医德高尚的医生团队
南京肤康皮肤中医门诊部皮肤病治疗中心是由国内外各大科研机构的技术支持,使之具备前沿的诊疗手段、先进的皮肤病治疗科研设备。二是医院能够凭借先进的管理理念,广聚名医,吸引了众多曾在海外留学深造和国内培养的博士和副主任医师以上医生、教授、学者,为我院皮肤病治疗中心的快速发展打下了坚实的人才基础,如齐晓民、齐主任、吴凯等医生都有20年以上的皮肤病诊治经验,对皮肤病诊治有独特见解,让众多患者慕名到肤康找他们看皮肤病。
温馨提示:得了皮肤病一定要早点去正规专业的医院进行治疗,否则病情就会严重,治疗期间也要做好相应的预防工作,这样对治疗会起来很大的帮助,如果您还有其他有关花斑癣的疑问,可点击【在线咨询】 ,南京肤康皮肤中医门诊部在线医生会详细为您解析。如果有来院诊治的需要,可先进行【网络预约】 ,凭号到院免排队挂号,优先就诊。
上一篇:哪里治疗花斑癣好?
下一篇:成功恢复腹部大面积花斑癣
点一点,知道更多信息
名医专家
-
门诊时间:08:00-17:30
咨询热线:18251889023
苏(中)医广(2025)第06-17-3201-0248号
地址:秦淮区建康路281号(夫子庙淮清桥西侧)
网站备案:苏ICP备17036858号-2
版权所有:南京肤康皮肤中医门诊有限公司









拨打电话 18251889023
咨询病情