当前位置:南京肤康皮肤病研究所 > 带状疱疹 > >
关注带状疱疹病因 解除带状疱疹困扰
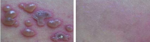
【诊疗案例】南京市葛女士57岁,一年前左臂及左胸痛,随之左臂内侧和手的末三指出现疼痛,并出现大水泡。曾在2010年初到医院诊为带状疱疹并住院治疗,经过输液、拔罐、梅花针等多种方法治疗,皮疹已消了,但疼痛一直未明显缓解。左臂、手留有阵发性剧烈电击样抽痛,发作时放射至小手指,平均白天发作2-3次,夜间必发作1次,非常痛苦,并伴有手指冷凉感,无法从事家务劳动。年末治疗1次后胸痛和末三指疼痛消失,电击样痛白天仅发作2次略感麻木,夜间未发作。治疗2次后只有前胸又轻微痛1次臂和手均无疼痛发作,手由凉冷转热感。治疗3次后疼痛完全消失,手指感觉基本恢复正常。治疗4次仍无疼痛出现,能洗袜子了共治6次痊愈。

治疗前 治疗后
南京肤康皮肤中医门诊部医生提醒:带状疱疹是由水痘--带状疱疹病毒引起的急性炎症性皮肤病,中医称为“缠腰火龙”、“缠腰火丹”。民间俗称“蛇丹”、“蜘蛛疮”。得了带状疱疹。皮肤可以出现成群水疱、血疱严重甚至坏死。需及时治疗。
医生解读带状疱疹的发病原因
南京肤康皮肤中医门诊部医生称,带状疱疹的病因就是由水疱-带状疱疹病毒所引发。对此病毒抵抗力低的儿童被感染后,发生水痘。人是水痘带状疱疹病毒的唯一宿主,病毒经呼吸道黏膜进入血液形成病毒血症,发生水痘或呈隐性感染,以后病毒可长期潜伏在脊髓后根神经节或者颅神经感觉神经节内。
1、病毒感染。直接致病因素就是带状疱疹病毒的感染,病毒由鼻腔粘膜进去人体,侵犯察觉神经系统的绘制,它能沿着四面神经进去皮质,也能在神经组织内繁殖。
2、诱发的因素。当身躯受到外伤,毁败药物或其它感染等涉及时,埋伏的病毒就抬头动作起来,引起一侧后根神经结节产生出血性炎症,并有下行性神经炎而使四面察觉神经分离区的皮肤袒露水疱,与其患者抵抗力低,水疱中的病毒含混播散而引起广泛的疱疹,这都是带状疱疹原因。
带状疱疹患者呈年轻化趋势
以前,“缠腰龙”患病的大都是中老年人,最近几年,皮肤科医生发现,越来越多的年轻人容易被病毒感染,患上“缠腰龙”。年轻人如果无法改变生活习惯,一定要在患病后及时就诊,一旦错过时机,可能会患上后遗症,遗憾终生。>>>带状疱疹治疗方法 点击咨询医生
【疗法推荐】三维经络抵抗修复疗法 疗效显著
南京肤康皮肤中医门诊部采用"三维经络抵抗修复疗法",针对带状疱疹的特点和难点,找出其邪毒留滞,瘀毒内阻治,阻遏经络,以致血瘀气滞、气血不通,故疼痛不休的病因,以内服本院中药专方,配合实施中药薰蒸、纳米波照射、红光照射、抗病毒药物注射等,达到解毒通络、活血化瘀、消炎止痛、提高机体抵抗力,真正实现一次恢复终身抵抗。
【疗法优势】三大优势高效治疗带状疱疹
1、化瘀清毒:内服中药,达到活血化瘀、解毒通络、脉络畅通的目的;西药注射抗病毒药物,以求清毒、消炎、止痛,对潜伏在体内血液、皮肤基底层、生发层细胞和神经节内的病毒或病菌进行完全杀灭。
2、完美修复:通过实施中药薰蒸、纳米波红光照射及中药"甲钴胺"内服,拔毒生肌、通经活络、阻截病毒蔓延、把体内的病毒排除体外,快速深层修复病变组织和受损细胞,消除代谢障碍,纠正抵抗缺陷,全面恢复机体功能。
3、激活抵抗:本着中医标本兼治的原则,疗法快速激活、平衡各个脏器的功能,并给腺体和肾脏必需的微量元素及营养物质,实现肝肾双修,并提高抵抗,激活体内防御体系,建造病毒防护网。真正实现一次恢复终身抵抗。并刺激机体产生保护性抵抗来防止病毒再感染,全面防止带状疱疹病毒再发作。
温馨提醒:如果发现自己有带状疱疹的症状,应该尽快到医院检查确诊,也可直接点击咨询在线医生,皮肤科医生会给您详细的解答。
上一篇:没有了
点一点,知道更多信息
名医专家
-
门诊时间:08:00-17:30
咨询热线:18251889023
苏(中)医广(2025)第06-17-3201-0248号
地址:秦淮区建康路281号(夫子庙淮清桥西侧)
网站备案:苏ICP备17036858号-2
版权所有:南京肤康皮肤中医门诊有限公司









拨打电话 18251889023
咨询病情